Pain Management Clinic

통증 클리닉

어깨를 들어올릴 때마다
통증이 너무 심합니다..

회전근개 건염

회전근개 건염은 어깨를 움직이는 힘줄에 염증이 생긴 상태로
팔을 들 때 통증이 심하고, 특히 밤에 아픈 경우가 많습니다.
초기엔 휴식과 물리치료로 호전되지만, 방치하면 만성 통증이나
힘줄 파열로 진행될 수 있습니다.

회전근개 건염 Rotator Cuff Tendinitis

대표적인 회전근개 건염의 증상은?

Rotator Cuff Tendinitis symptoms

팔을 들 때 어깨의 통증이 심하다.

어깨가 뻣뻣하고 회전 동작이 힘들다.

밤에 누워 있을 때 어깨의 통증이 심해진다.

어깨를 움직일 때 소리가 발생한다.

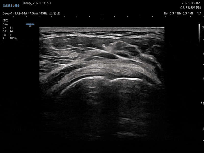
초음파 검사를 통해
회전근개 건염 통증의 직접적인
원인을 확인할 수 있습니다.

회전근개 힘줄의 염증과 두께, 파열, 석회화 정도를
정확하게 파악한 이후 치료 솔루션을 제시합니다.

본연의 건강을 되찾아 드리는 본스필한의원

단순한 치료를 넘어
재발을 막는 재생 솔루션

  • Step 01

    증상의 원인을 치료하여
    통증을 제거하는 과정

  • Step 02

    손상된 신경 및 조직을
    재생하는 과정

  • Step 03

    척추관절 구조물을 강화하여
    재발을 막는 관리

본연의 건강을 되찾아 드리는 본스필한의원

회전근개 건염 치료방법

01. PDRN

02. 고농도 봉침

03. 태반약침

01. PDRN 약침

PDRN 약침은 인체의 DNA와 90% 이상 유사한 구조로 세포 증식을 활성화하여
손상된 조직을 복구하는 효과가 뛰어납니다. 초음파를 활용하여 신경을 압박하는
염증을 박리하고 손상된 조직을 재생합니다.

02. 고농도 봉침

고농도 봉약침은 기존 제형보다 유효 성분의 함량이 높아, 더욱 강력한 항염 및
신경 안정 효과를 기대할 수 있습니다. 특히, 염증성 사이토카인(TNF-α, IL-1β 등)을
효과적으로 억제하여 통증 완화에 탁월한 효능을 나타냅니다.

03. 태반약침

태반약침은 사람의 태반에서 유래한 생리활성물질을 정제한 치료제로 미세 손상 회복 및
조직 강화 효능이 뛰어나 시술 후 회복 속도를 높이고 통증이 재발하는 것을 예방하는데
큰 도움이 됩니다.

일상적인 활동은 물론,
잠자기나 옷 입기조차
힘들어서 너무 힘듭니다..

오십견

오십견은 어깨 관절의 통증과 강직으로 움직임이 제한되는
질환입니다. 어깨에 염증이 생겨 조직이 굳어지며, 초기에는 통증이
심하고 이후 움직임이 어려워집니다. 치료하지 않으면 일상생활에
큰 불편을 초래할 수 있습니다.

오십견 Frozen Shoulder

대표적인 오십견의 증상은?

Frozen Shoulder symptoms

어깨를 움직일 때마다 통증이 발생한다.

밤에 누워 있을 때 어깨의 통증이 심해진다.

어깨의 가동범위가 줄어들고 팔을 올리기 어렵다.

팔을 들어 올리거나 물건을 들 때 힘이 부족하다.

초음파 검사를 통해
오십견 통증의 직접적인
원인을 확인할 수 있습니다.

어깨 관절낭의 관절낭의 염증 정도를 정확하게
파악하여 치료 솔루션을 제시합니다.

본연의 건강을 되찾아 드리는 본스필한의원

단순한 치료를 넘어
재발을 막는 재생 솔루션

  • Step 01

    증상의 원인을 치료하여
    통증을 제거하는 과정

  • Step 02

    손상된 신경 및 조직을
    재생하는 과정

  • Step 03

    척추관절 구조물을 강화하여
    재발을 막는 관리

본연의 건강을 되찾아 드리는 본스필한의원

오십견 치료방법

01. PDRN

02. 고농도 봉침

03. 태반약침

01. PDRN 약침

PDRN 약침은 인체의 DNA와 90% 이상 유사한 구조로 세포 증식을 활성화하여
손상된 조직을 복구하는 효과가 뛰어납니다. 초음파를 활용하여 신경을 압박하는
염증을 박리하고 손상된 조직을 재생합니다.

02. 고농도 봉침

고농도 봉약침은 기존 제형보다 유효 성분의 함량이 높아, 더욱 강력한 항염 및
신경 안정 효과를 기대할 수 있습니다. 특히, 염증성 사이토카인(TNF-α, IL-1β 등)을
효과적으로 억제하여 통증 완화에 탁월한 효능을 나타냅니다.

03. 태반약침

태반약침은 사람의 태반에서 유래한 생리활성물질을 정제한 치료제로 미세 손상 회복 및
조직 강화 효능이 뛰어나 시술 후 회복 속도를 높이고 통증이 재발하는 것을 예방하는데
큰 도움이 됩니다.