internal Medicine Clinic

내과 클리닉

본연의 건강을 되찾아 드리는 본스필한의원

다양한 검사를 받아 보아도
뚜렷한 원인을 규명하기 힘든 질환?

머리가 하루 종일 욱신거려서
약 없이는 일상생활이 어렵습니다.

15일 이상, 3개월 이상 반복되는 두통은 단순 피로가
아니라 만성두통으로 분류되는 신경계 질환입니다.
스트레스, 수면 부족, 자세 이상, 자율신경계 불균형 등이
복합적으로 작용하며, 기능적인 문제가 쌓여 반복되고
고착화되는 경우가 많습니다.

갑자기 어지러워서 몸이 휘청거리고
땅이 울렁거리는 느낌이에요.

단순한 빈혈이 아닌, 진정기관 이상, 혈압 문제, 뇌혈류 순환
장애, 자율신경계의 불균형 등 다양한 원인으로 발생할 수
있는 증상입니다. 특히 스트레스와 수면 부족, 목/어깨의
긴장이 함께 있을 때 증상이 나타나는 경우가 많습니다.

귀가 꽉 막힌 것 같고 삐 소리도 나요.
어지러워서 제대로 걷기도 힘들어요.

귀 속의 내림프액 이상으로 인해 발생하는 질환으로 심한
어지럼증, 이명, 귀 먹먹함, 청력 저하가 반복적으로 발생합니다.
증상은 반복적으로 나타나며 스트레스, 수면 부족에 따라 심해지는
경향이 있기 때문에 삶의 질을 크게 떨어뜨리는 질환입니다.

앉았다가 일어나면 눈앞이 캄캄해지고
순간 멍해져서 그대로 주저앉고 싶어요.

누워 있거나 앉아 있다가 갑자기 일어설 때 혈압이 급격히
떨어지며 어지럼증이나 실신 증상이 나타나는 상태를 말합니다.
혈관의 수축 반응이나 자율신경계 조절 기능이 저하된 경우
발생하기 쉬우며 빈혈, 저체중, 피로, 스트레스, 수분 부족 등의
영향을 크게 받습니다.

아침에 일어났는데 한쪽 귀가 먹먹하고
소리가 잘 안 들려서 너무 놀랐어요.

갑작스럽게 한쪽 귀의 청력이 급격히 저하되는 증상입니다.
일반적으로 72시간 이내에 청력이 30db 이상 감소하며
이명, 귀 먹먹함, 어지럼증을 동반하는 경우가 많습니다.

조용할 때 귀에서 삐- 소리가 계속 나요.
신경 쓰여서 잠도 잘 못 자겠어요.

외부 소리가 없음에도 귀나 머릿속에서 ‘삐' , ‘윙' 등의 소리가
지속적으로 들리는 증상입니다. 검사상 원인이 발견되지 않는
경우가 많아 많은 분들께서 답답함을 호소하시는 대표적인
질환입니다.

원인 없는 증상은 없습니다.

두면부 질환은 단순한 구조적 문제가 아닌, 혈류 순환 장애,
자율신경계 불균형, 미세 염증 등 기능적 이상에서 비롯되는 경우가 많습니다.

순환과 신경계 균형 회복에 치료의 초점을 맞추면
기존 검사로는 드러나지 않던 증상의 원인에 접근할 수 있습니다.
특히 예민하고 만성적인 증상일수록 회복 반응이 빠르게 나타납니다.

본스필한의원은
순환 조절 치료법을 활용하여 근본적인 해결책을 제시합니다.

*순환 치료란?

본 치료법은 복부 순환, 체표 순환, 자율 신경계 조절을 중점적으로 다루며 현대 의학적 검사법(초음파, 혈액검사 등)을 통해 정확한 진단을 바탕으로 진행됩니다. 이를 통해 각종 만성 질환의 원인을 파악하고 개인 맞춤형 치료를 제공합니다.

본연의 건강을 되찾아 드리는 본스필한의원

두면부 질환 검사방법

  • Step 01

    혈액 검사
  • Step 02

    초음파 검사
  • Step 03

    맥 검사

    Step 04

    자율신경 검사

본연의 건강을 되찾아 드리는 본스필한의원

두면부 질환 치료방법

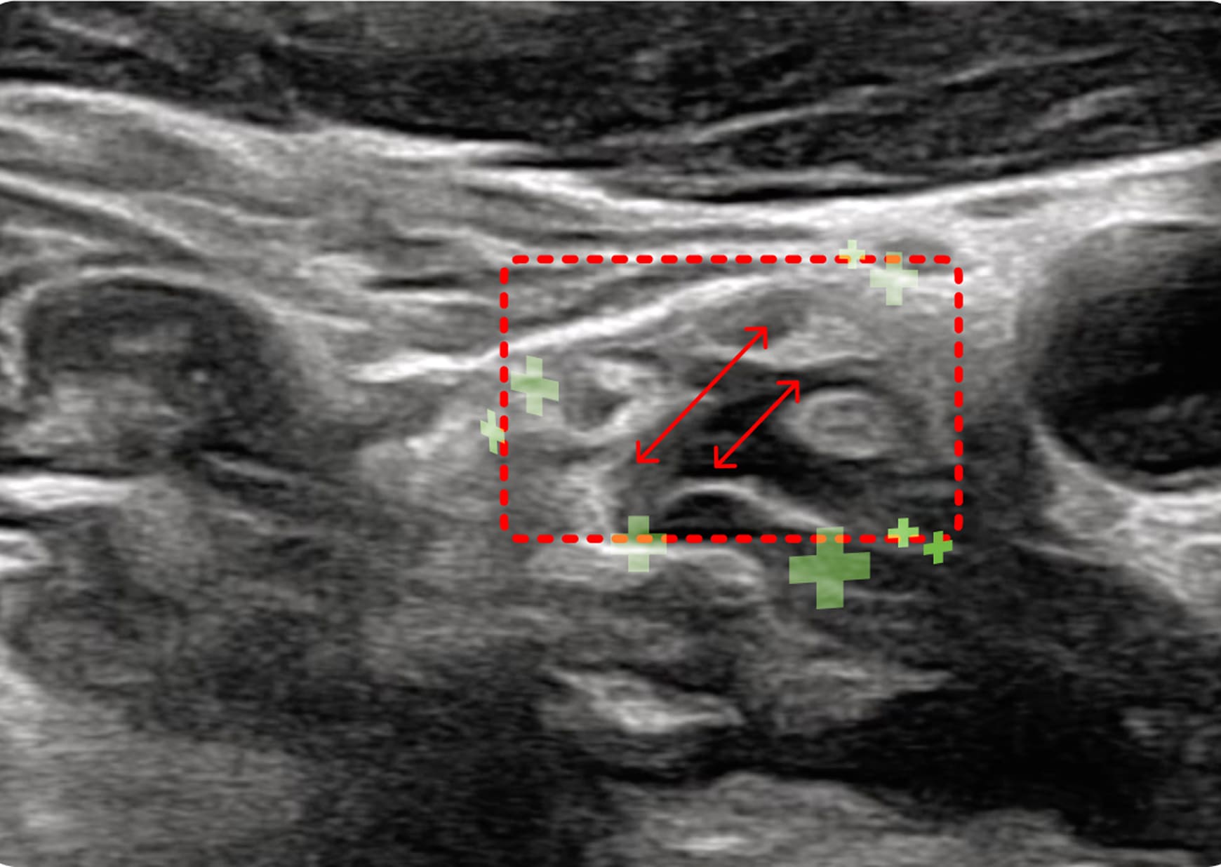
1. 초음파 시술

초음파를 활용하여 근육과 신경 문제를
정확히 진단하고 치료하여 통증과 기능
이상을 개선하는 시술입니다.

경신경총 / 경장근

두면부 및 상지의 긴장성 근육 문제를 해결하여
두통, 어지럼증, 상지 저림 등을 완화합니다.

외익돌근

턱의 움직임에 관여하는 심부 근육문제를 해결하여
턱관절 장애, 안면 비대칭, 편두통 등을 완화합니다.

익구개신경절, 악이복근

두면부의 자율 신경 신호와 림프 순환을 개선하여
이명, 돌발성 난청, 안구 및 구강 건조 등을 완화합니다.

2. 개인맞춤 1:1 약침 치료

20여종의 맞춤 약침을 선정하여, 안와부 순환개선
림프 순환 정체 개선, 교감신경, 부교감신경 활성화를
유도합니다.

3. 개인맞춤 1:1 한약 치료

체계화된 변증 진단을 통해 두면부 체표 순환을 개선하고,
긴장성 근육 완화, 점액 분비, 림프 순환, 미네랄 공급을
유도합니다.